Guided Implant Surgery at PDC DENTAL CLINIC: Super Speciality Dental Practice in Vadodara, Gujarat
At PDC DENTAL CLINIC: Super Speciality Dental Practice in Vadodara, Gujarat, we specialize in Guided Implant Surgery, a cutting-edge dental service designed to ensure precision and optimal outcomes for our patients. Our clinic leverages the latest technology in dental implantology, offering a minimally invasive approach that enhances accuracy, reduces recovery time, and ensures a high success rate.
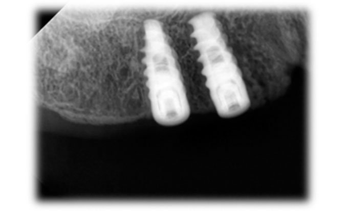
Guided Implant Surgery involves the use of advanced 3D imaging and computer-aided design (CAD) to plan the exact placement of dental implants. This meticulous planning process allows our dental specialists to visualize the patient’s oral anatomy in great detail, ensuring the implants are placed in the most ideal position for both functionality and aesthetics. The procedure is tailored to each patient's unique needs, ensuring a personalized treatment plan.
Our experienced team at Pushti Dental Clinic and Pediatric Dental Center is committed to providing exceptional care. We use high-quality materials and state-of-the-art equipment to perform implant surgeries, ensuring long-lasting results. Our patient-centered approach prioritizes comfort and safety, making the entire process smooth and stress-free.
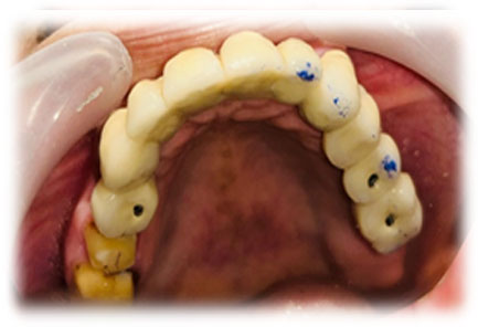
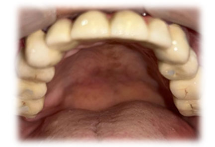
Whether you need a single tooth replacement or a full arch restoration, our Guided Implant Surgery service ensures that you receive the best possible care with minimal discomfort. Trust Pushti Dental Clinic and Pediatric Dental Center for advanced dental solutions that restore your smile and confidence.
These technique assures that the implant is precisely placed without any damage to nerves, vessels and wouldn't perforate maxillary sinus too.
Contact us today to learn more about our Guided Implant Surgery service and schedule your consultation.




